La miocardiopatía periparto (MCPP) es una afección poco frecuente, pero potencialmente mortal que se manifiesta como insuficiencia cardíaca (IC) durante el período periparto y puede progresar a shock cardiogénico. (1) En estudios genéticos recientes se indica que hasta el 20 % de las pacientes con MCPP presentan mutaciones en genes asociados con la miocardiopatía dilatada (MCD), como el gen de la titina, TTN, lo que resalta la importancia de las pruebas genéticas en esta población. (2) Se presenta un caso complejo de MCPP con evolución clínica grave y una nueva variante por truncamiento en el gen TTN, y se hace énfasis en la complejidad del diagnóstico y el tratamiento, especialmente en lo que respecta al momento de indicar un cardiodesfibrilador implantable (CDI).
Se trata de una mujer caucásica de 33 años, sin antecedentes médicos relevantes, que acudió al servicio de urgencias cinco días después del parto por disnea repentina, ortopnea y molestias torácicas. Como antecedentes obstétricos tenía un embarazo a término sin complicaciones y un aborto espontáneo. No presentaba antecedentes familiares de enfermedades cardíacas.
Al ingreso se constató taquicardia, taquipnea e hipotensión. En la auscultación se percibió ritmo irregular, soplo sistólico apical y crepitantes bibasales. En los análisis se observaron concentraciones elevadas de la fracción N-terminal del propéptido natriurético B (NT-proBNP; 4400 pg/mL; normal <450 pg/mL) y de dímero D (6000 ng/mL; valor normal <500 ng/mL). En la angiografía pulmonar por tomografía computarizada se evidenció pequeño derrame pleural bilateral. En el electrocardiograma (ECG) se observó taquicardia sinusal (140 lpm) con frecuentes extrasístoles ventriculares bigeminadas y un intervalo QT normal (Figura 1).
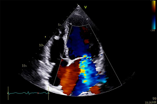
En la ecocardiografía se percibió dilatación y disfunción grave del ventrículo izquierdo (VI) con fracción de eyección del ventrículo izquierdo (FEVI) de 20 %, función del ventrículo derecho (VD) en el límite de la normalidad e insuficiencia mitral secundaria grave (Figura 2).
Fig. 2
Ecocardiografía transtorácica donde se observan dilatación grave del ventrículo izquierdo e insuficiencia mitral secundaria grave.
La paciente ingresó a la unidad de cuidados intensivos cardíacos para estabilización clínica. A las 24 horas, su estado se deterioró hasta progresar a shock cardiogénico, que requirió levosimendán y norepinefrina. Después de tomar una decisión conjunta con la paciente, se indicó supresión de la lactancia con bromocriptina. Ante la previsión de asistencia circulatoria mecánica se la trasladó a un centro de atención especializada, donde respondió al tratamiento inotrópico con dobutamina y no precisó de apoyo circulatorio. Recibió fármacos modificadores de la insuficiencia cardíaca de manera progresiva, pero limitada por su perfil hemodinámico.
El día 23, en la resonancia magnética cardíaca (RMC) se confirmó dilatación y disfunción graves del ventrículo izquierdo (FEVI de 28 %) y disfunción leve del VD, sin signos de inflamación, fibrosis ni infiltración miocárdica. La paciente fue dada de alta el día 40 y derivada para la realización de una evaluación genética.
El seguimiento de la IC en el consultorio permitió aumentar gradualmente la dosis de los fármacos modificadores de la enfermedad. En las pruebas genéticas se identificó una nueva variante por truncamiento en el gen TTN (c.98319dup p.(Asp32774*)), probablemente patógena. Los familiares de primer grado no presentaron anomalías ecocardiográficas.
Después de seis meses de tratamiento optimizado, en la RMC se observó persistencia de la disfunción grave del ventrículo izquierdo, por lo que se indicó la colocación de un CDI subcutáneo. Finalmente, ocho meses después del ingreso, la paciente logró la recuperación completa de la función del ventrículo izquierdo (FEVI de 54 %).
Avances recientes han proporcionado nuevos conocimientos sobre la base génica de la MCPP. Se demostró que hasta el 20 % de las pacientes con MCPP son portadoras de mutaciones génicas que se sabe están asociadas con la MCD. (2)
Este caso avala los datos recientes sobre los fundamentos genéticos de la MCPP, en particular el papel que desempeñan las variantes por truncamiento en el gen TTN, que se sabe se asocian a una remodelación del VI desfavorable y a una recuperación reducida. (2) Se refuerza la hipótesis de que el embarazo actúa como un “segundo golpe” fisiológico que desenmascara una MCD genética latente. (3)
Según los datos, en una proporción considerable de mujeres se produce la recuperación completa de la función ventricular, y entre los factores predictivos figura una FEVI basal superior al 30 %, como sugieren estudios anteriores. (4) Aunque la recuperación de la FEVI puede producirse en hasta el 65 % de las pacientes a los seis meses, (5) algunas solo se recuperan después de un año o más. Esta variabilidad complica la determinación del momento óptimo para la implantación de un cardiodesfibrilador. La implantación permanente temprana puede ser prematura, sobre todo en las miocardiopatías reversibles, pero los datos sobre las arritmias ventriculares en la MCPP siguen siendo limitados.
En algunos estudios se informa una elevada carga arrítmica en las fases iniciales de la MCPP, con arritmias ventriculares potencialmente mortales en el 12 % al 43 % de las pacientes. (6) Los cardiodesfibriladores portátiles (CDP) han demostrado ser útiles en este contexto. En una serie prospectiva, 3 de 7 pacientes presentaron fibrilación ventricular que se revirtió con éxito gracias al CDP. (6)
Aunque las guías actuales no son específicas, los CDP pueden constituir una estrategia puente razonable en pacientes con MCPP de reciente aparición y FEVI muy reducida.
Sin embargo, su disponibilidad limitada en algunos países puede restringir su uso habitual en la práctica clínica y dificultar la decisión sobre el momento adecuado para indicar un CDI.
Este caso ilustra la complejidad del tratamiento de la MCPP grave en presencia de una variante patógena en el gen TTN. Realza la importancia de las pruebas genéticas, la necesidad de una toma de decisiones compartida sobre la supresión de la lactancia y el dilema en torno al momento adecuado para colocar un CDI, sobre todo cuando una variante génica subyacente se asocia con una menor reversión de la remodelación del ventrículo izquierdo.
Declaración de conflicto de intereses
Los autores declaran no tener conflicto de intereses.
(Véase formularios de conflictos de interés de los autores en la Web).
Consideraciones éticas
No aplica.
