CARTAS CIENTÍFICAS

Coronariografía y perfusión miocárdica de estrés mediante tomografía computarizada: una realidad clínica

Coronary Angiography and Stress Myocardial Computed Tomography Perfusion: a Clinical Reality

Gorka Bastarrika 1, Ana Ezponda 1

1 Sección de Imagen Cardiotorácica. Servicio de Radiología. Clínica Universidad de Navarra. Avenida Pío XII, 36 31008 Pamplona

Dirección para correspondencia: Gorka Bastarrika, bastarrika@unav.es. Ana Ezponda, aezponda@unav.es

Rev Argent Cardiol 2024;92:69-71. http://dx.doi.org/10.7775/rac.es.v92.i1.20732

El estándar de referencia para diagnosticar la enfermedad coronaria es la coronariografía convencional. Se trata de una técnica invasiva y no exenta de complicaciones, que todavía se realiza con un fin meramente diagnóstico en un gran número de pacientes que realmente no la requieren. (1) Esto ha hecho que se busquen alternativas diagnósticas que ayuden en el manejo clínico y que permitan seleccionar mejor a los sujetos que requieren la realización de dicha exploración.
Se presenta el caso de un paciente de 70 años, con hipercolesterolemia como único factor de riesgo cardiovascular, sin tratamiento médico. Vida activa, alimentación variada, consumo ocasional de alcohol. Hermano fallecido de infarto a los 55 años. Hermana diabética.
Acudió a consulta para valoración cardiológica, por episodios de opresión en el centro del tórax desde hacía 3 meses. La opresión aparecía en relación con el esfuerzo, al caminar rápido o subir una cuesta y cedía con el reposo. Desde hacía una semana la sintomatología era más grave, con mayor opresión torácica y disnea al caminar.
En la exploración física destacó una presión arterial de 150/85 mmHg. La auscultación cardíaca y pulmonar fueron normales. Sin signos de insuficiencia cardíaca. El ECG mostró ritmo sinusal a 67 latidos por minuto, eje horizontal, intervalo PR normal y complejo QRS angosto. En la analítica se observó un colesterol total de 234 mg/dL, con un colesterol LDL de 166 mg/dL. La radiografía de tórax fue normal.
Se solicitó una coronariografía por tomografía computarizada (CTC) para estudiar la sintomatología que refería el paciente (Figura 1). Las arterias coronarias derecha y circunfleja se encontraban difusamente enfermas, con placas calcificadas y no calcificadas que provocaban estenosis < 50 %. Se observó una gran placa calcificada y no calcificada de unos 23 mm de longitud localizada en el segmento medio de la arteria coronaria descendente anterior, que englobaba el ostium de las ramas diagonales y provocaba estenosis de 70-99 % de la luz. Ante dichos hallazgos, se decidió completar la exploración mediante TC-perfusión de estrés con un fármaco vasodilatador (regadenosón) (Figura 2). La prueba resultó positiva para isquemia miocárdica en el territorio correspondiente a la arteria descendente anterior. El estudio se clasificó como CAD-RADS 4A/ P3/I+ (que corresponde a estenosis grave con gran monto de placa y demostración de isquemia). Con este resultado, el paciente fue derivado al servicio de Hemodinamia, donde se realizó un cateterismo que confirmó las lesiones graves descritas en la CTC (Figura 2). La primera estenosis se trató con implantación de stent. La lesión más distal no se consiguió tratar de forma percutánea porque el vaso se encontraba subocluido. Finalmente, se trató mediante cirugía de derivación aortocoronaria con un injerto de arteria mamaria interna izquierda a descendente anterior media y de vena safena a rama diagonal.
La CTC se ha convertido en el estándar de referencia para evaluar el árbol coronario en forma no invasiva, fiable y precisa. En particular, dada su capacidad para descartar enfermedad coronaria, esta técnica desempeña un papel muy importante en el manejo del paciente con dolor torácico, tal y como queda demostrado en estudios como el SCOT-HEART (Scottish Computed Tomography of the Heart), PROMISE (Prospective Multicenter Imaging Study for Evaluation of Chest Pain) y DISCHARGE (Diagnostic Imaging Strategies for Patients with Stable Chest Pain and Intermediate Risk of Coronary Artery Disease). Así, las guías y recomendaciones internacionales más actuales consideran la CTC como la técnica imagen de elección para el manejo clínico de los pacientes con dolor torácico, sobre todo cuando presentan una probabilidad pretest baja o intermedia de padecer enfermedad coronaria. (2,3) La gran limitación de la técnica es su relativa baja especificidad, por ejemplo, en pacientes con calcificación coronaria extensa o stent. En estos casos, no es infrecuente tener que recurrir a técnicas funcionales para completar el estudio y demostrar la presencia de isquemia: ecocardiograma de esfuerzo, resonancia magnética de estrés, tomografía computarizada de emisión de fotón único (SPECT), tomografía de emisión de positrones (PET).
Los avances más recientes en TC han permitido que, además de proporcionar información detallada del sistema arterial coronario, se pueda emplear esta técnica para conocer el significado funcional de una estenosis coronaria, bien sea aplicando algoritmos de inteligencia artificial y principios de dinámica de fluidos computacional a las imágenes de CTC (lo que se conoce como reserva de flujo fraccional por angiotomografìa coronaria, FFR-CT) o mediante la realización de un estudio de perfusión miocárdica empleando el propio equipo de TC (TC-perfusión) bajo estrés inducido por un fármaco vasodilatador.
En general, frente al resto de las pruebas de detección de isquemia, la TC-perfusión proporciona información anatómica y funcional integrada en una única exploración. La adquisición es rápida, posee una resolución espacial submilimétrica y permite cuantificar la perfusión con precisión dada la relación lineal existente entre la cantidad de contraste yodado y la atenuación del tejido miocárdico. Entre las limitaciones de la TCperfusión destacan el empleo de radiación ionizante, posibles artefactos, tanto por movimiento como por endurecimiento del haz de rayos X, y la necesidad de utilizar un software específico para poder interpretar el estudio.
En el caso clínico que se presenta se demuestra el valor diagnóstico incremental que posee la TCperfusión frente a la CTC y se puede observar que añadir la TC-perfusión a la CTC permite aumentar la especificidad de la prueba. En este sentido, son varios los trabajos que abogan por completar la CTC con un estudio de TC-perfusión. Por ejemplo, el estudio CRESCENT-II (Comprehensive Cardiac CT Versus Exercise Testing in Suspected Coronary Artery Disease 2) concluye que, en pacientes con dolor torácico estable, la combinación de CTC y TC-perfusión en sujetos con estenosis ≥50 %, es una alternativa eficaz a las pruebas tradicionales de detección de isquemia, y con la que se consigue una proporción significativamente mayor de cateterismos que tienen indicación de revascularización coronaria (88 % vs. 50 %; p= 0,017). (4)
Los resultados de los trabajos realizados sobre TCperfusión se incorporan a las guías más recientes de TC cardíaca, que indican que puede ser apropiado realizar TC-perfusión para evaluar la importancia funcional de las estenosis intermedias detectadas en la CTC (estenosis del 30-90 % del diámetro), particularmente en el contexto de enfermedad multivaso, como ayuda para seleccionar a los pacientes que precisan una coronariografía convencional, y para planificar del tratamiento de revascularización. (5) Además, la actualización de las recomendaciones acerca del informe estandarizado de CTC (Coronary Artery Disease Reporting and Data System, CAD-RADS 2.0) incluye como nuevo modificador la evaluación de la isquemia mediante TC-perfusión (modificador I, de isquemia), señalando que esta técnica permite excluir la isquemia miocárdica en la estenosis coronaria moderada (50 a 69 %) o en la sospecha de estenosis coronaria grave (>70 %) con placas densas calcificadas o mixtas, evitando pruebas adicionales posteriores. (6)
Como conclusión, la CTC permite excluir la enfermedad coronaria con gran fiabilidad, pero posee baja especificidad diagnóstica. Teniendo en cuenta que el beneficio clínico de la revascularización se limita a las lesiones causantes de isquemia y no únicamente a cuantificar el grado de estenosis coronaria, la TCperfusión juega un papel importante y posee un gran valor añadido en los pacientes con estenosis coronaria demostrada mediante CTC, no solo desde el punto de vista diagnóstico (al aumentar la precisión y valor predictivo de la prueba) sino también en la estratificación del riesgo, valoración pronóstica y para la toma de decisiones terapéuticas.

Imagen 1

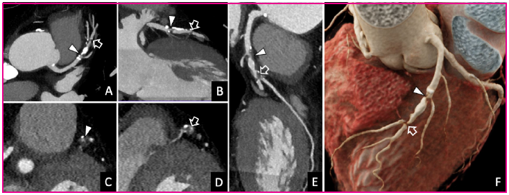
Fig. 1 Coronariografía-TC. A, B: Reconstrucciones multiplanares de la arteria coronaria descendente anterior. C, D: Reconstrucciones perpendiculares al eje largo del vaso. E. Reconstrucción planar curva. F. Reconstrucción volumétrica cinemática. El estudio demostró estenosis del 70-99 % en el tercio medio de la arteria coronaria descendente anterior, que engloba al origen de la primera (punta de flecha) y segunda rama diagonal (flecha hueca).

Imagen 2

Fig. 2 Coronariografía-TC, estudio de TC-perfusión de estrés y coronariografía convencional. A. Reconstrucción cinemática del árbol coronario. B, C, D. Reconstrucciones de la TC-perfusión de estrés en los planos de eje corto (B), tres cámaras (C) y cuatro cámaras (D). E. Coronariografía convencional. La CTC demostró dos puntos de estenosis del 70-99 % en el tercio medio de la arteria descendente anterior (flechas huecas en A). El estudio se completó con TC-perfusión de estrés para valorar su significado funcional, demostrando isquemia inducible en segmentos septales (puntas de flecha). Con los hallazgos, la prueba se clasificó como CAD-RADS 4A/P3/I+. La coronariografía convencional confirmó los hallazgos de la CTC (flechas huecas en E).

https://creativecommons.org/licenses/by-nc-sa/4.0/

Consideraciones éticas:

No aplica

Declaración de conflicto de intereses

Los autores declaran que no tienen conflicto de intereses.
(Véanse formularios de conflicto de intereses de los autores en la Web).

Financiamiento

Este trabajo no contó con financiamiento

©Revista Argentina de Cardiología

BIBLIOGRAFIA

  1. Patel MR, Peterson ED, Dai D, Brennan JM, Redberg RF, Anderson HV, et al. Lowdiagnosticyield of electivecoronaryangiography. N Engl J Med. 2010;362:886-95. https://doi.org/10.1056/NEJMoa0907272

  2. WritingCommitteeMembers; Gulati M, Levy PD, Mukherjee D, Amsterdam E, Bhatt DL, et al. 2021 AHA/ACC/ASE/CHEST/ SAEM/SCCT/SCMR GuidelinefortheEvaluation and Diagnosis of ChestPain: A Report of the American College of Cardiology/ American HeartAssociationJointCommitteeonClinicalPractice- Guidelines. J Am CollCardiol. 2021;78:e187-e285. https://doi.org/10.1016/j.jacc.2021.07.053

  3. Knuuti J, Wijns W, Saraste A, Capodanno D, Barbato E, Funck- Brentano C, et al. ESC ScientificDocumentGroup. 2019 ESC Guidelinesforthe diagnosis and management of chroniccoronarysyndromes. EurHeart J. 2020;41:407-77. https://doi.org/10.1093/eurheartj/ehz425

  4. Lubbers M, Coenen A, Kofflard M, Bruning T, Kietselaer B, Galema T, et al. ComprehensiveCardiac CT WithMyocardialPerfusionImaging Versus FunctionalTesting in SuspectedCoronary ArteryDisease: TheMulticenter, Randomized CRESCENT-II Trial. JACC CardiovascImaging. 2018;11:1625-36. https://doi.org/10.1016/j.jcmg.2017.10.010

  5. Narula J, Chandrashekhar Y, Ahmadi A, Abbara S, Berman DS, Blankstein R, et al. SCCT 2021 ExpertConsensusDocumentonCoronaryComputedTomographicAngiography: A Report of theSociety of Cardiovascular ComputedTomography. J CardiovascComputTomogr. 2021;15:192-217. https://doi.org/10.1016/j.jcct.2020.11.001

  6. Cury RC, Leipsic J, Abbara S, Achenbach S, Berman D, Bittencourt M, et al. CAD-RADS™ 2.0 - 2022 CoronaryArteryDisease- Reporting and Data System: AnExpertConsensusDocument of theSociety of Cardiovascular ComputedTomography (SCCT), the American College of Cardiology (ACC), the American College of Radiology (ACR), and the North AmericaSociety of Cardiovascular Imaging (NASCI). J CardiovascComputTomogr. 2022;16:536-57. https://doi.org/10.1016/j.jcct.2022.07.002