La endocarditis infecciosa (EI) es una infección del endocardio, predominantemente valvular. Se produce por daño endotelial sobre el cual se implantan microorganismos por vía hematógena, generando vegetaciones. (1) A pesar de haber mejorado la compresión de su fisiopatología, de contar con métodos de diagnóstico más precisos y antibióticos más eficaces, se asocia a gran morbimortalidad, e incluso más del 50% de los pacientes sufren alguna complicación durante su evolución. (2)
El estudio EIRA-3 realizado en Argentina mostró una mortalidad hospitalaria global del 25,5 % y estableció como factores predictores de ésta a la edad mayor a 65 años, el antecedente de insuficiencia renal, la afección de la válvula mitral y la presencia de insuficiencia cardíaca. Los patógenos que se aislaron con mayor frecuencia fueron cocos Gram positivos: Staphylococcus spp (46,3%), Streptococcus spp (28,2 %) y Enterococcus spp (12,8 %). Las principales complicaciones intrahospitalarias que se observaron fueron la fiebre persistente luego de iniciada la antibioticoterapia, nueva insuficiencia renal, las embolias periféricas y nueva insuficiencia cardíaca. (3)
El objetivo de esta comunicación es presentar un caso clínico con compromiso cardíaco estructural extenso y múltiples embolizaciones sépticas a distancia. Se analizará la presentación clínica, el manejo inicial, el tratamiento de las complicaciones extracardíacas y su final resolución quirúrgica.
Se presenta un paciente de sexo masculino de 61 años, tabaquista, con antecedentes de infección por virus de la inmunodeficiencia humana (VIH) desde el año 2000, en tratamiento antirretroviral con lamivudina y dolutegravir, atrofia renal derecha con posterior enfermedad renal crónica secundaria a uropatía obstructiva izquierda (requirió terapia sustitutiva renal desde enero de 2022 hasta marzo de 2023), diabetes tipo 2 no insulino requiriente, e internación de un mes en febrero de 2023 por bacteriemia con rescate de Enterococcus faecium multisensible que respondió al tratamiento con vancomicina.
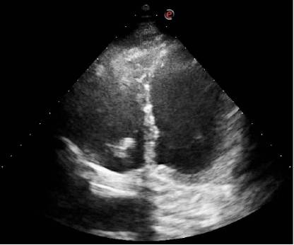
Consultó en esta oportunidad por lumbalgia incapacitante de tres meses de evolución, en quien una resonancia magnética nuclear (RMN) evidenció discopatía a nivel L5-S1, por lo que se planteó resolución quirúrgica. Entre los exámenes complementarios prequirúrgicos, se realizó ecocardiograma transtorácico en el que se constató imagen sugestiva de vegetación en válvula tricuspídea asociada a insuficiencia moderada (Figura 1), por lo que se decidió internación para estudio y tratamiento.
Fig. 1
Ecocardiograma transtorácico, vista apical de 4 cámaras. Se aprecia en ventrículo derecho imagen compatible con vegetación de válvula tricúspide.
Al interrogatorio dirigido al paciente refirió presentar desde tres semanas antes episodios de febrícula asociados a tos no productiva, astenia y pérdida de 10 kilogramos de peso en los últimos dos meses. Al examen físico se encontraba lúcido, con palidez mucocutánea, sin signos de foco neurológico, con signos clínicos de insuficiencia cardíaca, buena mecánica ventilatoria con soplo cavitario en campo pulmonar inferior derecho, aislados rales crepitantes finos subyacentes, primer ruido atenuado y segundo ruido normofonético, soplo sistólico de intensidad 3/6 en foco aórtico y diastólico de intensidad 2/6 en foco tricuspídeo, extremidades simétricas y sin edemas, pulso periférico magnus et celer. En el electrocardiograma de ingreso presentaba ritmo sinusal, frecuencia cardíaca de 75 latidos por minuto y bloqueo completo de rama derecha. En el laboratorio: hematocrito 26,9%, hemoglobina 8,90 g/ dL, recuento de leucocitos de 14 910/mm3 (75% de neutrófilos), urea 116 mg/dL y creatinina 2,71 mg/dL. La radiografía de tórax mostró dos imágenes cavitadas con niveles hidroaéreos en su interior en lóbulo pulmonar inferior derecho (Figura 2), con senos costofrénicos libres y sin otros hallazgos patológicos. En la tomografía simple de tórax y abdomen, se informó la presencia de abscesos pulmonares y una imagen hipodensa en el bazo. Se realizó un ecocardiograma transesofágico con hallazgo de insuficiencia aórtica grave, insuficiencia tricuspídea moderada, con vegetaciones en dichas válvulas y en red de Chiari (Figura 3). Se tomaron muestras de hemocultivo, con rescate de Enterococcus faecium resistente a vancomicina (EVR), por lo que se cumplieron con holgura los criterios diagnósticos de Duke modificados para EI, mayores (hemocultivos e imagen positiva) y menores (fiebre, fenómenos embólicos periféricos). (4) Por todo ello se inició esquema antibiótico dirigido con linezolid.
Fig. 2
Radiografía simple de tórax postero anterior. Se aprecian dos lesiones cavitadas con nivel hidroaéreo en su interior
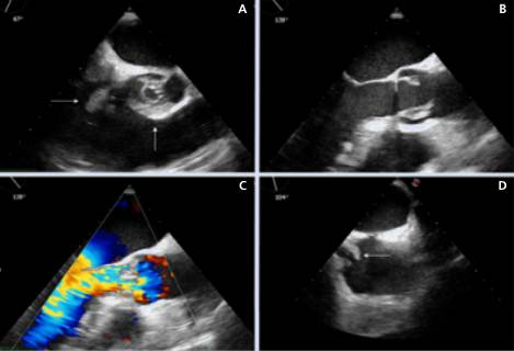
Fig. 3
Ecocardiograma transesofágico. En la imagen A se aprecia una vista axial a nivel de los grandes vasos basal, con compromiso valvular aórtico (flecha vertical) que impide su correcto cierre y se aprecia la proyección ventricular de una vegetación de la valva septal tricuspídea (flecha horizontal). En la imagen B se aprecia una vista longitudinal del tracto de salida del ventrículo izquierdo, dos vegetaciones en válvula aórtica. En la imagen C se aprecia el Doppler color de la imagen previa, en la que se puede observar un flujo regurgitante aórtico en diástole. En la imagen D se aprecia una vista bicava levemente rotada en la que se aprecia una vegetación (flecha horizontal) sobre la desembocadura de la vena cava inferior, compatible con vegetación de la red de Chiari.
Con respecto a los abscesos pulmonares y esplénico, el servicio de Cirugía Percutánea realizó drenajes de los mismos guiados por tomografía y fluoroscopía respectivamente, rescatando la misma bacteria.
En conjunto con el servicio de Infectología se decidió realizar nueva resonancia magnética de columna con gadolinio por sospecha de espondilodiscitis. Se observó aumento de señal en plano prevertebral con finas colecciones laminares, que son signos de cambios inflamatorios compatibles con incipiente espondilodiscitis en primer término. Por no ser una colección drenable, se decidió tratamiento médico. Odontología realizó exodoncia de pieza 4.5 por presencia de caries penetrante.
El paciente evolucionó con signos de insuficiencia cardíaca para los cuales recibió tratamiento endovenoso con diuréticos de asa. Con balance hídrico negativo la respuesta clínica fue favorable. El paciente evolucionó sin leucocitosis ni fiebre y con hemocultivos control negativos a la semana de iniciada la terapia antibiótica.
Como intercurrencias relevantes, luego de 15 días de tratamiento presentó trombocitopenia que se interpretó como secundaria a toxicidad medular de linezolid, por lo que se rotó la antibioticoterapia a daptomicina y minociclina. Una vez controlados los focos infecciosos, se realizó cinecoronariografía en la que no se apreciaron lesiones angiográficamente significativas. Dos horas después del procedimiento presentó un registro febril y clínica compatible con síndrome cerebeloso agudo, lo que se interpretó como una embolización séptica asociada al procedimiento. Manteniendo el esquema antibiótico, los síntomas remitieron espontáneamente a las 48 hs. Por aumento de los productos azoados reinició hemodiálisis. Tras evaluación multidisciplinaria se decidió tenía indicación quirúrgica . (4)
En el día 53 de internación, el equipo de Cirugía Cardiovascular realizó reemplazo valvular aórtico con prótesis biológica número 23, plástica subaórtica y vegetectomía de valva anterior de válvula tricúspide. No presentó intercurrencias relevantes en el posquirúrgico.
Se obtuvo rescate de Staphylococcus aureus meticilino-sensible en la válvula tricúspide, por lo que continuó antibioticoterapia por dos semanas luego de cirugía, con hemocultivos control negativos, ecocardiograma control sin evidencia de vegetaciones. Se decidió su externación y actualmente se encuentra en seguimiento ambulatorio, con buena adherencia terapéutica y sin presentar nuevas complicaciones.
Los pacientes con diagnóstico de VIH que presentan EI tienen mayor porcentaje de comorbilidades y complicaciones. (5) Es de suma importancia que dichos pacientes tengan un abordaje y seguimiento multidisciplinario estricto lo cual ayuda a la toma rápida y eficaz de las decisiones médico-quirúrgicas, sobre todo durante los primeros días de internación, lo que condiciona el pronóstico. La resolución quirúrgica en este caso está indicada una vez se controlen los focos infecciosos no valvulares, salvo en caso de complicaciones hemodinámicas, según plantean las guías.
Consideraciones éticas
No aplica
Consideraciones Éticas
No aplica
Declaración de conflicto de interés
Los autores declaran que no tienen conflicto de intereses (Véase formularios de conflictos de interés de los autores en la Web).
