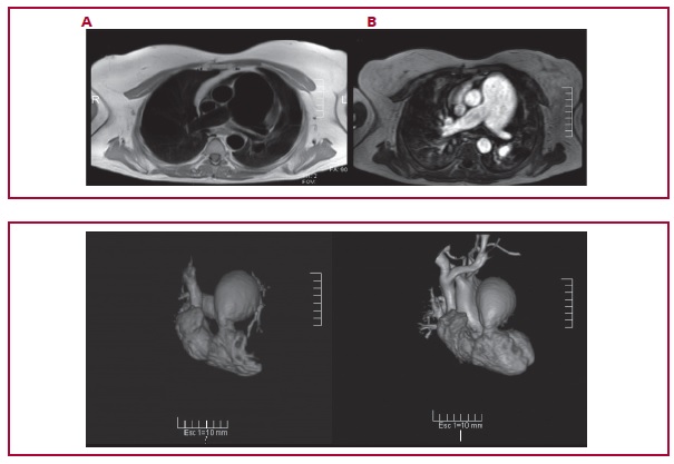
Aneurisma de la arteria pulmonar en un paciente adulto
pp 87-60
DOI:
https://doi.org/10.7775/rac.es.v87.i1.14560Resumen
Descargas
Publicado
07-05-2025
Número
Sección
IMÁGENES EN CARDIOLOGÍA
Licencia
Derechos de autor 2025 Revista Argentina de Cardiología

Esta obra está bajo una licencia internacional Creative Commons Atribución-NoComercial-CompartirIgual 4.0.








