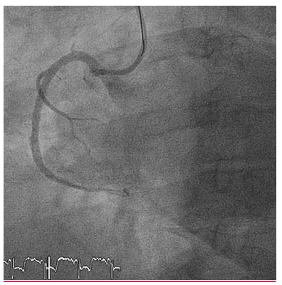
Manejo controvertido de trombocitopenia grave inducida por abciximab

pp 559-561

Autores/as

  • María Lasala Alastuey Hospital Universitario Miguel Servet. Zaragoza. España.
  • Isabel Caballero Jambrina Hospital Universitario Miguel Servet. Zaragoza. España.
  • Elena Rivero Fernández Hospital Universitario Miguel Servet. Zaragoza. España.
  • Esther Sánchez Insa Hospital Universitario Miguel Servet. Zaragoza. España.
  • Ana Marcén Miravete Hospital Universitario Miguel Servet. Zaragoza. España.
  • Juan Sánchez-Rubio Lezcano Hospital Universitario Miguel Servet. Zaragoza. España.

DOI:

https://doi.org/10.7775/rac.es.v85.i6.10963

Publicado

19-06-2025

Número

Sección

CARTAS CIENTÍFICAS

Artículos más leídos del mismo autor/a