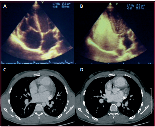
Integración diagnóstica en la comunicación interauricular

pp. 421-422

Autores/as

  • Martín Lombardero Departamento de Imagen Cardíaca No Invasiva. Trinidad Palermo y San Isidro

DOI:

https://doi.org/10.7775/rac.v82.i5.4777

Publicado

23-09-2025

Número

Sección

IMÁGENES EN CARDIOLOGÍA

Artículos más leídos del mismo autor/a