Implante de cardiodesfibrilador por vía transauricular. Descripción de un caso
pp. 518-520
DOI:
https://doi.org/10.7775/rac.v77i6.2077Palabras clave:
Desfibrilador, Chagas, TransauricularResumen
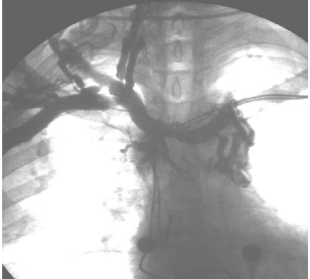
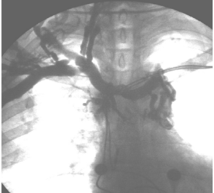
La trombosis de la vena cava superior es infrecuente, pero su aparición dificulta la vía de acceso para el implante de marcapasos y desfibriladores. Existen alternativas cuando no se puede utilizar la vía endovascular y la vía epicárdica es la de elección. Sin embargo, se describieron implantes de catéteres de desfibrilador por vía transauricular por toracotomía mínima con buenos resultados a largo plazo y con el logro de un umbral de desfibrilación adecuado. En esta presentación se describe el caso de un paciente con antecedentes de cardiopatía chagásica e implante de un marcapasos bicameral por enfermedad binodal que necesita un
desfibrilador. Debido a que se trata de un paciente joven con accesos dificultosos se decidió utilizar la vía transauricular por toracotomía mínima conservando el catéter auricular para estimulación y sensado.
Descargas
Publicado
Número
Sección
Licencia
Derechos de autor 2025 Revista Argentina de Cardiología

Esta obra está bajo una licencia internacional Creative Commons Atribución-NoComercial-CompartirIgual 4.0.








