Cierre de fístula coronaria con Amplatzer vascular plug en el paciente pediátrico

pp 233-235

Autores/as

  • Ricardo Gamboa Cardiólogo infantil. Jefe de la Sección de Cardiología y Hemodinamia Infantil del ICyCC - Fundación Favaloro
  • Francisco P. Mollón Miembro Titular de la Sociedad Argentina de Cardiología. Cardiólogo universitario. Médico de planta de la Sección de Cardiología y Hemodinamia Infantil del ICyCC - Fundación Favaloro
  • Raúl E. Ríos Méndez Cardiólogo infantil universitario. Fellow Ad Honorem de la Sección de Cardiología y Hemodinamia Infantil del ICyCC - Fundación Favaloro
  • Diego F. Gutiérrez Cardiólogo infantil universitario. Fellow Ad Honorem de la SecciCirujano cardiovascular infantil. Miembro Titular del Colegio Argentino de Cirujanos Cardiovasculares. Jefe de la División de Pediatría del ICyCC - Fundación Favaloro

DOI:

https://doi.org/10.7775/rac.v76i3.2416

Palabras clave:

Cateterismo cardíaco, Fístula vascular, Dispositivos, Pediatría, Vasos coronarios

Resumen

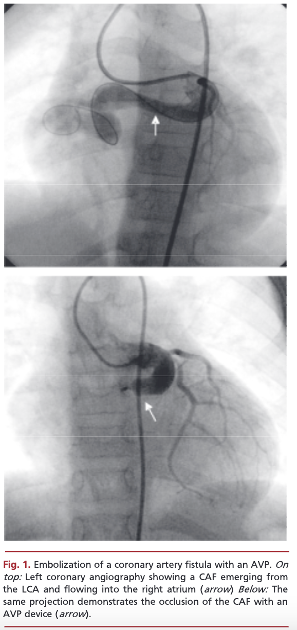
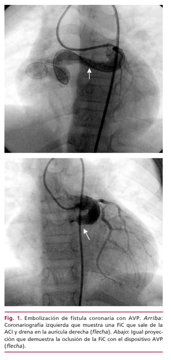
La fístula coronaria congénita es una patología poco frecuente y en general asintomática, por lo que muchas veces se diagnostica por un hallazgo incidental. Con dependencia de la repercusión hemodinámica, algunos siguen una conducta conservadora, otros indican tratamiento quirúrgico o, más recientemente, oclusión por cateterismo. Se presenta el caso de una paciente con una gran fístula coronaria-cameral, que se trató mediante embolización percutánea con dispositivo Amplatzer vascular plug. No se presentaron complicaciones durante el procedimiento ni en el seguimiento.

Publicado

06-01-2026

Número

Sección

PRESENTACIÓN DE CASOS

Artículos más leídos del mismo autor/a