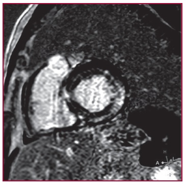
Amiloidosis senil cardíaca: patrón atípico de realce por resonancia magnética y utilidad de la gammagrafía/SPECT
pp 445
Descargas
Publicado
19-05-2025
Número
Sección
IMÁGENES EN CARDIOLOGÍA
Licencia
Derechos de autor 2025 Revista Argentina de Cardiología

Esta obra está bajo una licencia internacional Creative Commons Atribución-NoComercial-CompartirIgual 4.0.








