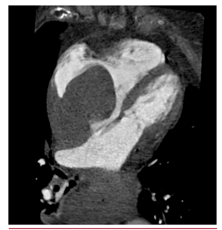
Linfoma cardíaco primario
pp. 257-258
Descargas
Publicado
02-07-2025
Número
Sección
CARTAS CIENTÍFICAS
Licencia
Derechos de autor 2016 Revista Argentina de Cardiología

Esta obra está bajo una licencia internacional Creative Commons Atribución-NoComercial-CompartirIgual 4.0.








