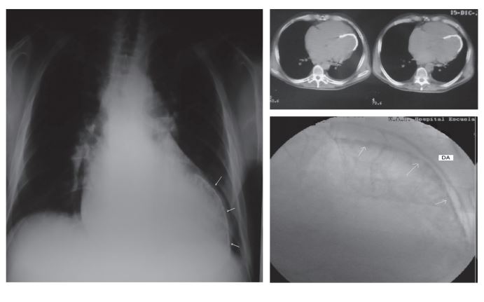
Calcificación del ventrículo izquierdo
Descargas
Publicado
04-11-2025
Número
Sección
IMÁGENES EN CARDIOLOGÍA
Licencia
Derechos de autor 2025 Revista Argentina de Cardiología

Esta obra está bajo una licencia internacional Creative Commons Atribución-NoComercial-CompartirIgual 4.0.








