Utilidad de la TC espectral cardíaca para la evaluación de complicaciones trombóticas en pacientes con ataque cerebrovascular isquémico
pp. 548-543
DOI:
https://doi.org/10.7775/rac.es.v88.es.i6.19253Palabras clave:
Angiografía por Tomografía Computarizada, Accidente Cerebrovascular, Trombosis, Tomografía Computarizada MultidetectoResumen
Objetivo: Evaluar la utilidad de la angiotomografía computada (TC) espectral cardíaca en pacientes con ataque cerebrovascular isquémico (ACVi).
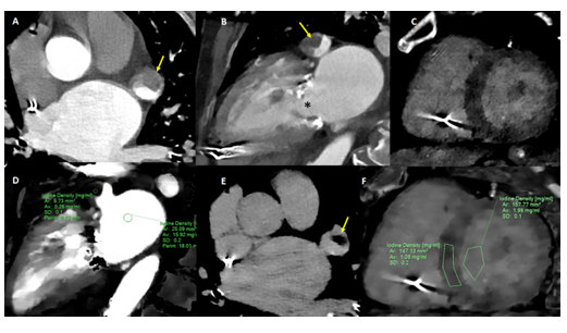
Material y métodos: En el contexto de pandemia de COVID-19 incorporamos la utilización de la TC espectral cardíaca en pacientes con ACVi para descartar en una única sesión, tanto fuentes cardioembólicas (FCE) como la presencia de complicaciones trombóticas o daño miocárdico. A partir de julio de 2020 incorporamos una adquisición tardía a las TC cardíacas en contexto de ACVi. Se presentan cuatro casos representativos sobre su utilidad y hallazgos cardiovasculares.
Resultados: Se presentan cuatro casos registrados en un lapso de 40 días. Dos pacientes con FCE (aorta y orejuela izquierda) y dos con ACVi de origen indeterminado donde se evidenció miocardiopatía (isquémica y no isquémica).
Conclusiones: En el contexto del ACVi, la TC espectral cardíaca, que incluía adquisición tardía, permitiría, eventualmente, descartar la presencia de FCE e identificar la etiología subyacente.
											Descargas
Publicado
Número
Sección
Licencia
Derechos de autor 2025 Revista Argentina de Cardiología

Esta obra está bajo una licencia internacional Creative Commons Atribución-NoComercial-CompartirIgual 4.0.
						







